|
|
|
新研究颠覆教科书理论 |
|
大脑的“身体地图”不会因截肢而重组 |
|
|

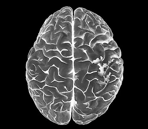
截肢后,大脑初级体感皮层中的躯体图谱保持不变。图片来源:Zephyr
本报讯 一项针对截肢者的脑成像研究发现,大脑中的“身体地图”并不会因为身体部位的缺失而自我重组。这颠覆了长期以来的科学共识。8月21日,科学家在《自然-神经科学》上发表了这一研究成果。
此前的研究认为,负责处理躯体感觉的初级体感皮层神经元,会生长到之前负责感知截肢体的皮层的邻近区域。但最新研究结果表明,即使在截肢多年后,初级体感皮层也保持着非常稳定的状态。研究人员表示,这一发现颠覆了神经科学领域的基础知识,即失去肢体会导致该区域神经重组。此外,该发现有助开发更先进的假肢设备、改善幻肢痛治疗,并帮助科学家找到恢复截肢者感觉功能的方法。
“几乎每个神经科学家都在教科书上了解到大脑具有重组的能力,这一点通过对截肢者的研究得到了证明。”该论文作者、英国剑桥大学认知神经科学家Tamar Makin说,“但教科书也可能是错的,我们不应把任何事情视为理所当然,尤其是在大脑研究方面。”
初级体感皮层负责接收触觉、温度等感觉信息。论文第一作者、美国匹兹堡大学神经科学家Hunter Schone表示,部分截肢者的描述促使他和同事重新审视传统理论,因为他们会说“仍然可以感觉到缺失的肢体,甚至还能移动已经几十年都没有动过的那只手的一个手指”。
为了搞清上述矛盾,研究人员追踪了3名即将接受单臂截肢术的患者。该团队首次采用功能磁共振成像(fMRI)技术在术前及术后5年时间里持续绘制参与者的皮层躯体映射图。
截肢前,参与者在fMRI扫描仪内完成了手指敲击、抿嘴、弯曲脚趾等各种各样的动作,扫描仪则监测了大脑不同部位的活动情况。这使得研究人员能够创建一个脑皮质图谱,精确标记出负责手部感知的对应脑区。
为了验证截肢后邻近神经元在皮质中重新分布的观点,研究人员还绘制了邻近皮质区域的图谱,在该案例中是处理嘴唇感觉的部分。Schone说,参与者在截肢后重复练习了用他们的“幻指”敲击。
结果发现,即便在截肢5年后,缺失手部对应的皮层映射区仍像术前一样被激活。此外,没有证据表明相邻唇部感知脑区如传统理论预测的那样转移到手部区域。Makin表示,这是证明大脑内置躯体图谱具有稳定性的“最具决定性的直接证据”。
意大利比萨圣安娜大学神经工程师Solaiman Shokur认为,该研究以清晰的证据颠覆了该领域的共识。
科学家认为,该研究解释了为何针对“逆转大脑重组”的幻肢痛治疗效果有限,因为人们可能低估了皮层表征的韧性。此外,上述发现对基于体感皮层脑机接口的假肢控制研究具有指导意义。(徐锐)
相关论文信息:
https://doi.org/10.1038/s41593-025-02037-7
《中国科学报》 (2025-08-25 第2版 国际)