|
|
| 心梗后心肌纤维化引发心衰?北京中医药大学等机构研究揭示关键机制 Engineering |
|
论文标题:Activation of the Macrophage-Associated Inflammasome Exacerbates Myocardial Fibrosis Through the 15-HETE-Mediated Pathway in Acute Myocardial Infarction
期刊:Engineering
DOI:https://doi.org/10.1016/j.eng.2024.05.015
微信链接:点击此处阅读微信文章

来自北京中医药大学、空军军医大学、首都医科大学附属北京安贞医院等机构的研究人员,在Engineering发表题为 “Activation of the Macrophage-Associated Inflammasome Exacerbates Myocardial Fibrosis Through the 15-HETE-Mediated Pathway in Acute Myocardial Infarction”(巨噬细胞NLRP3炎症小体通过15-HETE增加心肌纤维化易感性的机制研究)的研究性文章。该研究由陈旭、杜智勇为共同第一作者,李春、王勇、王伟为通讯作者,系统揭示了心肌梗死(MI)后 NOD 样受体家族 pyrin 结构域包含蛋白 3(NLRP3)炎症小体激活的时 - 空动态特征,明确了其通过 15 - 羟基 - 5,8,11,13 - 二十碳四烯酸(15-HETE)介导的 Smad 通路调控心肌纤维化的分子机制,为心肌梗死的精准防治尤其是早期心肌纤维化干预提供了理论依据。
心肌梗死是全球范围内最主要的心血管事件及致死原因之一。炎症反应对心梗后激活心脏修复机制至关重要,但持续过度激活可导致不良心脏重构,如纤维化与瘢痕形成,进而引发心力衰竭。既往研究已揭示心梗后炎症反应的时序性与阶段特异性,但炎症如何动态促进心血管纤维化的复杂机制尚未完全阐明。NLRP3 炎症小体作为先天免疫系统的核心成分,在驱动心梗后炎症反应中发挥关键作用,心梗后坏死细胞释放的细胞因子可激活该通路,加剧炎症级联反应。
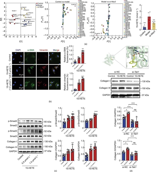
该研究通过左前降支冠状动脉结扎构建心肌梗死动物模型,系统探究了 NLRP3 炎症小体的激活规律。研究发现,心梗后第 3 天巨噬细胞中 NLRP3 炎症小体活性显著升高,并随后延伸至成纤维细胞。免疫印迹结果显示,心梗后 NLRP3、ASC、cleaved caspase-1、cleaved IL-18、GSDMD N 末端片段的表达均呈现依赖性增加,在第 3 天达到峰值后逐渐降低,证实 NLRP3 炎症小体在心梗后存在时间维度的演变规律。空间维度上,通过单细胞 RNA 测序数据分析和免疫荧光染色验证,NLRP3 炎症小体的活化主要发生在巨噬细胞,心梗后第三天巨噬细胞比例显著增加,ASC 荧光强度在巨噬细胞中增加最为显著,提示巨噬细胞在心肌损伤后先天免疫应答和组织修复中起关键作用。
为验证 NLRP3 炎症小体与心肌纤维化的关联,研究构建了 Nlrp3 基因敲除联合心梗的小鼠模型,结果显示 Nlrp3 基因敲除可显著抑制左前降支结扎诱导的 NLRP3 激活,减少下游 IL-1β 和 IL-18 的产生,改善心功能异常和心肌损伤。同时,通过腹腔注射 NLRP3 抑制剂 MCC950 也得到了类似结果,确认 NLRP3 炎症小体激活是左前降支诱导心梗的核心机制,抑制该通路可有效改善心功能。
体外实验中,研究参照既往方法建立了脂多糖(LPS)刺激骨髓来源巨噬细胞(BMDMs)的体外模型,发现 LPS 刺激后,ASC、cleaved caspase-1、IL-1β 和 IL-18 等蛋白表达显著增加。采用 LPS 刺激的 BMDMs 条件培养基处理大鼠心室来源的心脏成纤维细胞(CFs),成功构建新型心肌纤维化模型,该模型中胶原 I 和 α- 平滑肌肌动蛋白(SMA)表达均显著高于 LPS 单独处理组及对照组。进一步采用 si-Nlrp3 处理 BMDMs 后,收集其条件培养基刺激 CFs,结果显示 α-SMA 与 Vimentin 的表达显著降低,胶原 I/III 表达也相应下调,表明靶向作用巨噬细胞 NLRP3 可抑制纤维化进程。
代谢组分析结果显示,对照组、模型组及 Nlrp3 沉默组间存在显著表达差异,巨噬细胞培养上清中 15-HETE 水平显著升高。实验证实 15-HETE 可显著促进 α-SMA 及 Vimentin 表达,并上调成纤维细胞中磷酸化(p)-Smad2/3、I 型及 III 型胶原蛋白的表达。分子对接结果提示,15-HETE 与转化生长因子 β 激活激酶 1(TAK1)结合位点具有良好空间互补性,两者通过 ARG-392 和 TYR-587 形成氢键结合,且 si-Tak1 可显著抑制成纤维细胞中 I/III 型胶原蛋白的表达,揭示了巨噬细胞 NLRP3 激活可能通过 15-HETE-TAK1 通路驱动肌成纤维细胞转化,加剧心肌纤维化和心功能损伤。
临床研究部分,该研究已获得北京安贞医院伦理委员会批准并符合《赫尔辛基宣言》原则,招募了急性冠脉综合征(ACS)患者及健康志愿者,纳入标准为年龄大于 18 岁的 ST 段抬高型心肌梗死或不稳定型心绞痛患者,排除了严重心脑血管疾病史、瓣膜病等多种情况。所有受试者在经皮冠状动脉介入治疗前空腹采集静脉血,分离血清后于 - 80℃保存,心室瘤切除术患者的石蜡包埋心脏组织也被纳入研究。通过质谱成像检测石蜡包埋心肌组织中 15-HETE 的分布特征,发现梗死区及周边组织的 15-HETE 水平显著高于正常心肌组织。血清学检测显示,与健康对照组相比,231 例 ACS 患者血清中 15-HETE 水平显著升高,差异具有统计学意义,初步验证了 15-HETE 在心肌纤维化和心室功能中的潜在作用。

图. 巨噬细胞炎症小体通过 15-HETE/Smad 通路介导成纤维细胞转化。
该研究首次揭示了心梗后炎症小体激活的时 - 空动态特征,阐明了巨噬细胞 NLRP3 炎症小体激活与心肌纤维化病理过程的潜在关系,为心梗后心力衰竭患者的治疗策略开发提供了新的理论依据。研究同时指出,15-HETE 与 NLRP3 炎症小体之间复杂的相互作用机制,以及针对巨噬细胞相关炎症小体的靶向干预对心肌梗死模型小鼠心功能的影响,仍需进一步深入探索。
论文信息:
Xu Chen, Zhiyong Du, Dongqing Guo, Jincheng Guo, Qianbin Sun, Tiantian Liu, Kun Hua, Chun Li, Yong Wang, Wei Wang. Activation of the Macrophage-Associated Inflammasome Exacerbates Myocardial Fibrosis Through the 15-HETE-Mediated Pathway in Acute Myocardial Infarction.Engineering, 2024, 42(11): 143-156. DOI: 10.1016/j.eng.2024.05.015
特别声明:本文转载仅仅是出于传播信息的需要,并不意味着代表本网站观点或证实其内容的真实性;如其他媒体、网站或个人从本网站转载使用,须保留本网站注明的“来源”,并自负版权等法律责任;作者如果不希望被转载或者联系转载稿费等事宜,请与我们接洽。