|
|
|
|
|
三氯乙酸沉淀法提升犬Brachyspira抗体ELISA检测特异性并揭示交叉反应 | MDPI Veterinary Sciences |
|
|
论文标题:Detection of Serum IgG Specific for Brachyspira pilosicoli and “Brachyspira canis” in Dogs
论文链接:https://doi.org/10.3390/vetsci11070302
期刊名:Veterinary Sciences
期刊主页:https://www.mdpi.com/journal/vetsci
研究背景
Brachyspira pilosicoli是一种在猪、禽类和人中引起大肠炎、腹泻及生长不良的病原体,其在犬中的致病性尚存争议;而另一种尚未正式命名的“Brachyspira canis”被认为通常无致病性。研究采用不同的抗原制备方法,评估其用于酶联免疫吸附试验 (ELISA) 检测犬血清中针对B. pilosicoli和“B. canis”的IgG抗体的效果。抗原提取采用洗涤剂处理,并通过三氯乙酸 (TCA) 沉淀法提高特异性。结果显示,犬血清中的IgG抗体能识别两种螺旋体的共有表位,提示犬可能同时携带B. pilosicoli并产生针对“B. canis”的特异性抗体。该检测方法有望用于犬布拉氏螺旋体感染的间接诊断,并有助于深入了解其潜在致病作用。来自莱比锡大学Christoph G. Baums博士及其团队在Veterinary Sciences 期刊发表了文章,建立了用于检测犬血清中针对螺旋体属 (Brachyspira) 特异性抗体的实验室检测方法。

设计用于测定犬血清中与去污剂提取的“犬博德特氏菌” (红点) 和“毛细管杆状菌” (蓝点) 抗原结合的IgG抗体的ELISA方法。
研究过程与结果
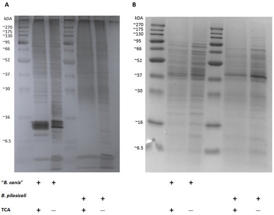
本研究旨在建立并验证两种酶联免疫吸附试验 (ELISA),用于检测犬血清中针对“B. canis”和B. pilosicoli的特异性IgG抗体。抗原来自犬源与猪源的B. pilosicoli菌株102/06和26,以及犬源“B. canis”菌株284、313和S2017。血清样本来自莱比锡大学兽医学院小动物诊所,原为诊断所采集的剩余材料,经伦理委员会批准使用。研究首先利用非离子型洗涤剂提取菌体蛋白,并通过透析和色谱进行纯化。随后,提取的抗原被分别偶联到CNBr活化的Sepharose 4B上,用于血清的预吸附处理,以评估交叉反应性。第一轮ELISA实验中,ELISA板包被4 µg/mL的洗涤剂提取抗原。对照组为未经预吸附的血清,实验组为分别经“B. canis”和B. pilosicoli抗原胶预吸附的血清。结果显示,未经预吸附的血清OD值显著高于预吸附组,提示抗体存在广泛交叉反应。此外,使用E. coli抗原胶预吸附的实验进一步证实了该抗原体系易与多种革兰氏阴性菌的抗体交叉结合,提示第一种ELISA特异性不足。为提高检测特异性,研究设计了第二种ELISA方法,采用三氯乙酸(TCA)沉淀的抗原作为包被抗原。通过使用兔免疫获得的“B. canis”和B. pilosicoli特异性抗体验证了该TCA抗原的特异性,交叉反应率低于10%。随后,对158份犬血清进行筛查,基于四分位法确定“B. canis”和B. pilosicoli的OD阈值分别为0.36和0.32,检出阳性率分别为9.5%和10.8%,其中10份样本对两种抗原均呈阳性。值得注意的是,对B. pilosicoli呈阳性的犬未表现出胃肠道症状。蛋白质图谱分析显示,经TCA沉淀处理后,Brachyspira spp.抗原中分子量较低的条带数量减少,尤其是小于20 kDa的条带,同时“TCA抗原”的Coomassie蓝染图谱与原始抗原相比变化较小,但在“B. canis”和B. pilosicoli之间仍表现出明显差异。银染结果也显示不同抗原具有独特的条带分布。综合分析表明,TCA沉淀抗原在保证蛋白保留的同时,去除了部分非特异性成分,有助于提高ELISA的检测特异性。综上,该研究建立的第二种ELISA方法可用于更为特异地检测犬体内针对B. pilosicoli和“B. canis”的抗体反应。

在用三氯乙酸 (TCA) 沉淀之前和之后,对用去污剂提取的短螺旋体抗原进行 SDS-PAGE 银染色 (A) 和考马斯亮蓝染色 (B)。
研究总结
目前已有多个国家的研究报道了犬粪便中Brachyspira spp.的流行情况,但关于犬血清中抗Brachyspira抗体的研究尚未见报导。相较之下,在猪中,通过ELISA检测血清中特异性抗体已成为判断群体感染状态的重要手段。受限于缺乏阳性和阴性参考血清,本研究采用去污剂提取的“B. canis”和B. pilosicoli抗原进行ELISA,并通过预吸附实验验证其特异性。首次ELISA结果显示,两种螺旋体存在交叉反应,TCA沉淀处理可显著提高抗原特异性。SDS-PAGE结果表明,TCA沉淀去除了部分低分子量非蛋白抗原,如LOSs,增强了ELISA的特异性。本研究在约10%的犬血清中检测到抗B. pilosicoli的特异性IgG抗体。虽然“B. canis”被认为是非致病性菌种,但部分犬对其表现出较高的IgG反应,可能与肠道屏障功能异常有关。综上,TCA沉淀的抗原ELISA可用于检测犬血清中针对B. pilosicoli和“B. canis”的特异性抗体,提示部分犬可能曾感染这些菌种,仍需进一步研究其致病性与免疫原性。
Veterinary Sciences 期刊介绍
主编:Patrick Butaye, Ghent University, Belgium; City University of Hong Kong, China
发表与兽医科学领域相关的原创研究文章、评论、通讯和简短说明,主题包括动物疾病、紊乱和损伤的预防、诊断和治疗。
|
2024 Impact Factor
|
2.3
|
|
2024 CiteScore
|
3.5
|
|
Time to First Decision
|
21.2 Days
|
|
Acceptance to Publication
|
2.7 Days
|
特别声明:本文转载仅仅是出于传播信息的需要,并不意味着代表本网站观点或证实其内容的真实性;如其他媒体、网站或个人从本网站转载使用,须保留本网站注明的“来源”,并自负版权等法律责任;作者如果不希望被转载或者联系转载稿费等事宜,请与我们接洽。