|
|
|
|
|
遗传学在结节病中的作用及其对心脏结节病发展的影响| MDPI Cardiogenetics |
|
|
论文标题:Exploring the Role of Genetics in Sarcoidosis and Its Impact on the Development of Cardiac Sarcoidosis
论文链接:https://doi.org/10.3390/cardiogenetics14020009?n1=27&_utm_from=baca40a8a2
期刊名:Cardiogenetics
期刊主页:https://www.mdpi.com/journal/cardiogenetics?n1=27&_utm_from=baca40a8a2
结节病(Sarcoidosis)是一种复杂的多系统炎症性疾病,病因至今未明。虽然多数患者表现为肺部受累,但仍有约 2–5% 患者会出现心脏结节病(Cardiac Sarcoidosis, CS),其临床风险极高,可导致心律失常、心力衰竭甚至猝死。
在 Cardiogenetics期刊近年发表的一篇综述文章中,宾夕法尼亚大学医学院 的Sanjay Sivalokanathan 医生系统梳理了结节病的遗传学基础及其在心脏结节病发生发展中的作用。

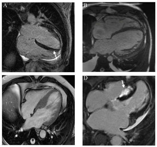
心脏结节病的影像学表现
研究内容与结果
本文作者筛选了66项以遗传学和结节病为重点的文献进行了综述研究,揭示了结节病与遗传学的深层联系。作者发现,心脏结节病的诊断往往十分困难,需要借助先进影像手段辅助检查。而在遗传层面,特定基因(如 HLA、BTNL2、TNF-α)与疾病发生密切相关,尤其在非裔人群和家族聚集病例中更为突出。这些发现不仅解释了不同患者间的差异性,也为未来的基因筛查和精准干预提供了科学依据。
研究亮点
•遗传易感性:研究发现,特定人群(如非裔患者)结节病发病率更高,提示基因背景的决定性作用。单卵双胞胎研究甚至显示 患病风险增加80倍。
•关键基因位点:BTNL2、TNF-α、HLA-DRB1 和HLA-DQB1*0601等遗传变异与心脏结节病密切相关,可影响免疫反应和炎症级联反应。
•临床意义:基因检测有望成为 高危人群筛查、早期干预和个体化治疗的重要工具。例如,携带特定基因变异的患者,可能更适合早期进行心脏影像学评估,甚至提前考虑植入ICD(植入式心律转复除颤器)以预防猝死。
•未来展望:基因组学和转录组学研究正在揭示更多潜在靶点,为精准医学和基因治疗奠定基础。
研究总结
文章强调,虽然心脏结节病诊断困难且常被低估,但遗传学研究为我们提供了全新视角。通过识别易感基因,不仅有助于更早识别高危患者,也为未来的靶向治疗打开了可能性。
Cardiogenetics 期刊介绍
主编:Giuseppe Limongelli, University of Campania Luigi Vanvitelli, Italy
期刊聚焦于心脏遗传学研究,为相关领域的各方面(临床、分子、细胞、药理学等)研究提供一个高级平台,鼓励科学家尽可能详细地发表他们的实验和理论成果。期刊致力于发表综述、原创研究论文、短篇通讯及病例报告等文章。
2024 Impact Factor: 0.9
2024 CiteScore: 1.4
Time to First Decision: 32.1 Days
Acceptance to Publication: 9.2 Days
特别声明:本文转载仅仅是出于传播信息的需要,并不意味着代表本网站观点或证实其内容的真实性;如其他媒体、网站或个人从本网站转载使用,须保留本网站注明的“来源”,并自负版权等法律责任;作者如果不希望被转载或者联系转载稿费等事宜,请与我们接洽。