|
|
|
|
|
科研人员发现山奈酚可治疗金黄色葡萄球菌感染,开辟抗菌新路径 Engineering |
|
|
论文标题: Discovery of Kaempferol, a Novel ADAM10 Inhibitor, as a Potential Treatment for Staphylococcus aureus Infection
期刊:Engineering
DOI:https://doi.org/10.1016/j.eng.2023.03.006
微信链接:点击此处阅读微信文章
由吉林大学邓旭明教授团队与山东省农业科学院吕强华等研究人员共同合作在中国工程院院刊《Engineering》发表了题为“Discovery of Kaempferol, a Novel ADAM10 Inhibitor, as a Potential Treatment for Staphylococcus aureus Infection”(山奈酚作为新型ADAM10抑制剂治疗金黄色葡萄球菌感染)的最新研究成果,为治疗金黄色葡萄球菌感染提供了全新策略。王婷婷、王建锋为文章共同第一作者,吕强华、邓旭明为通讯作者。

在全球抗生素危机的大背景下,多重耐药金黄色葡萄球菌,尤其是耐甲氧西林金葡菌(MRSA),严重威胁全球公共卫生安全。传统抗生素治疗耐药菌感染面临困境,宿主靶向疗法(HDT)应运而生,成为抗感染研究的新热点。
去整合素和金属蛋白酶10(ADAM10)在金黄色葡萄球菌感染过程中扮演关键角色。它是α-毒素(Hla)的特异性细胞受体,能通过多种机制助力细菌突破宿主屏障,促进感染扩散。同时,ADAM10 的锌依赖性催化作用还参与细胞内信号通路激活等重要过程。此前,ADAM10 在金葡菌诱导的坏死性凋亡中的作用尚不明确,而研究团队首次证实其在这一过程中不可或缺,拓宽了学界对 ADAM10 在金葡菌感染中作用的认知。

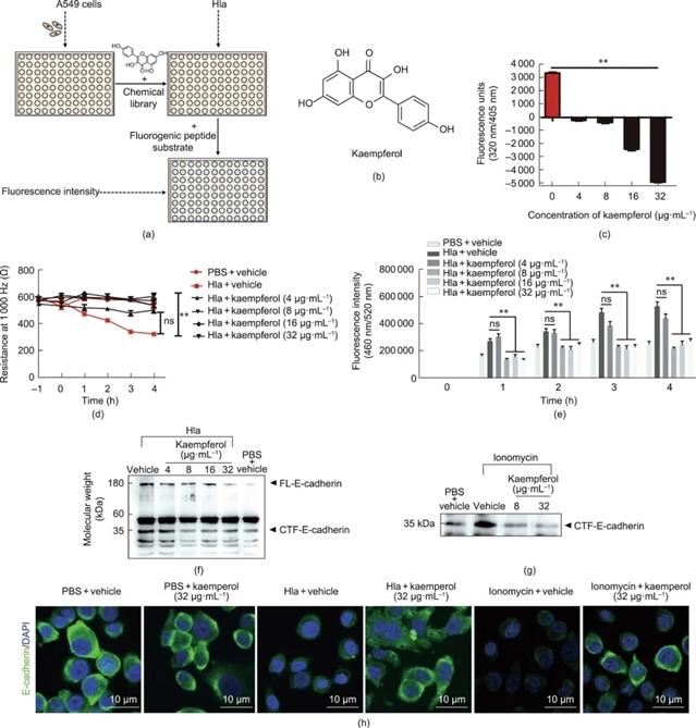
图1. 山奈酚作为一种有效的 ADAM10 抑制剂减轻 Hla 介导的屏障破坏。
研究团队经大量实验筛选,发现山奈酚这种广泛存在于蔬菜、水果和中草药中的天然多酚类化合物,是一种强效 ADAM10 抑制剂。分子对接实验表明,山奈酚主要通过与 ADAM10 的关键位点相互作用,抑制其金属蛋白酶活性。体外实验显示,山奈酚能有效抑制 Hla 引起的屏障破坏和细胞坏死性凋亡,减轻 A549 单层上皮细胞的跨膜电阻下降和通透性增加,阻断 E-cadherin 的裂解。体内实验中,山奈酚对小鼠金葡菌肺炎和乳腺炎均有显著保护作用,可提高感染小鼠的存活率,减轻肺部和乳腺组织的病理损伤,降低细菌载量和促炎细胞因子水平。
此外,研究还发现山奈酚并非直接抑制金葡菌生长或影响其胞内存活,而是通过阻断 ADAM10 依赖的坏死性凋亡途径,抑制 Hla 介导的细胞毒性,并干扰 ADAM10 和 肿瘤坏死因子(TNF) 信号通路的交互作用,减轻炎症反应。
这一研究成果不仅揭示了 ADAM10 在金葡菌感染中的新作用,还为开发针对 ADAM10 上调相关疾病的治疗策略奠定了基础。未来,山奈酚有望与抗生素联合使用,为耐药菌感染的临床治疗带来新的希望。
引用信息:
Tingting Wang, Jianfeng Wang, Xiangzhu Xu, Fan Jiang, Hongfa Lv, Qinghui Qi, Can Zhang, Qianghua Lv, Xuming Deng. Discovery of Kaempferol, a Novel ADAM10 Inhibitor, as a Potential Treatment for Staphylococcus aureus Infection. Engineering, 2023, 28(9): 206–221
开放获取论文:
https://doi.org/10.1016/j.eng.2023.03.006
更多内容
福州大学团队开发新型抗菌纳米反应器为应对耐药菌威胁提供新路径
中国农业大学研究团队:应对可转移多黏菌素耐药性——饲料添加剂来源的白屈菜红碱具有双重效应
任其龙院士:MOF基材料高效分离过程研究进展
邢锋院士团队“碳纤维电化学行为调控及工程应用”最新成果
Engineering征稿启事:人工智能赋能工程科技
特别声明:本文转载仅仅是出于传播信息的需要,并不意味着代表本网站观点或证实其内容的真实性;如其他媒体、网站或个人从本网站转载使用,须保留本网站注明的“来源”,并自负版权等法律责任;作者如果不希望被转载或者联系转载稿费等事宜,请与我们接洽。